Estetik diş hekimliği, diş hekimliğinin bir çok branşının bir araya gelerek oluşturdukları gülüş tasarımıdır.Gülüş estetiği planlanırken dişlerin şekli, rengi ve dizilimi yanında dişeti seviyeleri değerlendirilir.

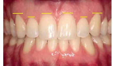
Ortodontist ve periodontoloji uzmanı diş eti seviyeleri ve dişlerin konumları açısından değerlendirme yaparlar. Dişlerin fotoğrafları üzerinde çeşitli ölçümler yapılır.
Dişlerin uzunluğu ve genişliği arasındaki oran ve dişlerin boyutunun birbirleri arasındaki oran hesaplanır.
Dişeti seviyeleri değerlendirilir. Dişetlerinin seviyeleri gerekli olduğu durumlarda cerrahi müdahale ile veya lazer tedavisi ile, bazı durumlarda da ortodontik tedavi ile düzeltilebilir.
Estetik dolgular, seramik dolgular (inley, onley), porselen, zirkonyum porselen, lamina porselen ve diş beyazlatma estetik diş hekimliğinin kullandığı yöntemlerdir.