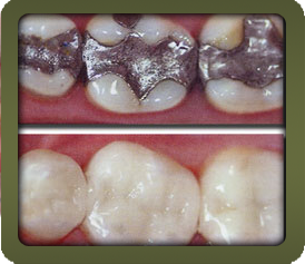
IŞINLI BEYAZ DOLGULAR - AMALGAM DOLGULAR

IŞINLI BEYAZ DOLGULAR - AMALGAM DOLGULAR

Beyaz dolgular dişe yapışırlar ve dişler orijinal şeklinde restore edilerek diş kırılmaya karşı güçlendirilmiş olur. Gümüş amalgamlar...

Diş rengini etkileyen faktörler ve diş beyazlatma

Diş rengini etkileyen faktörler ve diş beyazlatma

Diş renklenmeleri çeşitli faktörlere bağlıdır. Sağlıklı dişlerde yaşla oluşan renklenme erkeklerin yaklaşık %30 ve kadınların yaklaşık %20'sini etkiler. Diş renklenmeleri içsel ve dışsal renklenme olarak ikiye ayrılır. Bunlara örnek verecek olursak, nikotin lekelenmesi dışsal olarak başlar ancak 

Dişeti hiperpigmentasyonunun (koyu dişeti rengi) lazer ile tedavisi

Dişeti hiperpigmentasyonunun (koyu dişeti rengi) lazer ile tedavisi

Dişetinin rengini kan damarlarının genişliği ve sayısı, epitelin kalınlığı, keratinizasyon miktarı, ve epitel içerisindeki pigmentler belirler. Melanin, karoten, indirgenmiş hemoglobin ve oksihemoglobin ise oral mukozanın normal rengini belirleyen esas ..

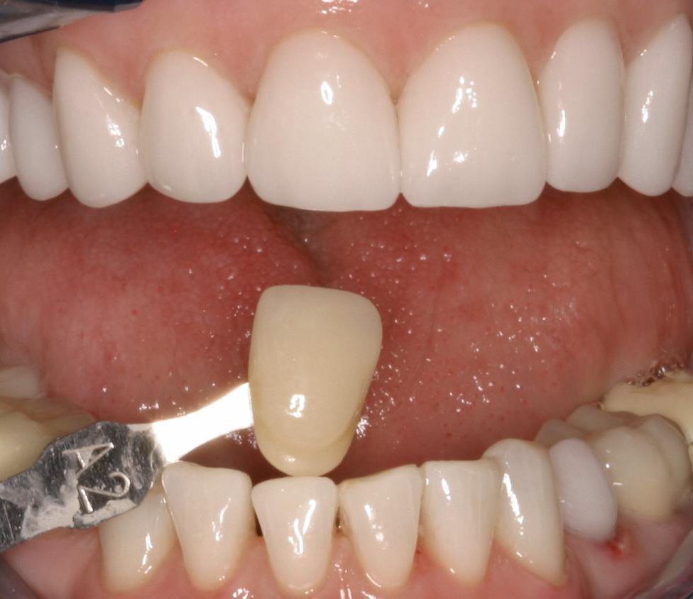
Lamine diş (laminate veneer)

Lamine diş (laminate veneer)

Günümüzde diş hekimliği uygulamalarında fonksiyonve fonasyonun yanı sıra doğal diş estetiğinin hastaya yeniden kazandırılması da ön plana çıkmaktadır. Bu sorunları gidermek amacı ile sıklıkla baş vurulan yöntem, bu dişlerin kuron ile kaplanmasıdır. Ancak, bu işlem için fazla miktarda diş 

Porselen, lamina, zirkon ömrü ne kadardır ?

Porselen, lamina, zirkon ömrü ne kadardır ?

Ölçü alımında, laboratuvar aşamasında veya lamina, zirkon veya porselen dişin yapıştırılmasında ve fonksiyon düzenlemesindeki hassasiyet protez dişlerimizin ömrünü doğrudan etkiler. Hassasiyet ucu açık bir terimdir ve sonu yoktur. 

Diş protezlerinde estetik

Diş protezlerinde estetik

Diş protezlerindeki estetik değerlendirme genel olarak dişlerin rengi ve şekli üzerinden yapılır. Hastalar yaptırdıkları veya bir yakınında gördükleri porselen dişleri büyük-küçük ve açık-koyu olarak ifade ederler. Bu doğrudur. Bunun yanında, gördüklerimizi bu değerlendirmeye yönlendiren 

Diş beyazlatma (dental bleaching) nasıl gerçekleşiyor?

Diş beyazlatma (dental bleaching) nasıl gerçekleşiyor?

Diş beyazlatmada iki ayrı uygulama mevcuttur. Ev tipi bleaching ve ofis tipi bleaching. Ev tipinde, hasta dişlerine özel yapılmış dişlik kullanarak yaklaşık birkaç ..

Gülüş Estetiği nasıl sağlanır?

Gülüş Estetiği nasıl sağlanır?

Gülüş estetiğini etkileyen unsurlar dişlerin rengi ve formu, kişi güldüğünde dişetinin görünme miktarı, dişlerin dişeti hizalarının (kole seviyelerinin) uyumlu olması, diş dizisinin dudak hatlarını ..